Mund-Kiefer-Gesichtschirurgie

Plastische Gesichtsoperationen

Oralchirurgie – Implantologie (zertifiziert)

0531 70 76 30 10 WhatsApp Notfall

Aufbau von seitlichen Defekten des Kieferfortsatzes

Seitliche Defekte können je nach Situation vor oder zeitgleich mit dem Implantat-Operation ausgeglichen werden. Dabei verwenden wir in der Regel körpereigene Transplantate (z.B. Späne aus der Implantatbohrung). Wir haben in der Vergangenheit auch Fremdmaterialien eingesetzt, deren Verwendung jedoch wegen der besseren Ergebnisse von Eigenknochen wieder eingestellt.

Alternativ lässt sich das Implantatlager auch durch spreizende bzw. dehnende Aufbereitungstechniken derart verbessern, dass ein Implantat auch ohne weiteren knöchernen Aufbau stabil zur Einheilung gelangt

.

.

Aufbau im seitlichen Oberkieferbereich (Sinuslift)

Der sogenannte Sinuslift ist ein operatives Verfahren, um den Oberkiefer im Bereich der Backenzähne zu erhöhen. Gerade in dieser Region gibt es verschiedene anatomische Variationen und häufig auch Situationen nach Zahnverlusten, bei denen der Kiefer stark reduziert ist und das Implantatlager aufzubauen ist.

Im Eingriff wird zunächst die Kieferhöhlenschleimhaut vorsichtig vom Knochen abgelöst und angehoben und dann das Aufbaumaterial der Wahl eingebracht. Dies lässt sich in örtlicher Betäubung, Sedierung oder Vollnarkose durchführen. Es treten weniger Schmerzen auf als bei einer Zahnentfernung, jedoch können die Schwellungen ausgeprägter sein. Die Komplikationen sind sehr gering und sehr selten.

Je nach individueller Situation wird das Implantat gleichzeitig oder nach einem Intervall von bis zu 6 Monaten in einem zweiten Eingriff gesetzt. Im Rahmen einer Diplomarbeit an der Universität Krems wurden unsere Erfolgsraten (= Implantaterhalt) untersucht. Bei Fällen, in denen Kieferaufbau und Implantatversorgung gleichzeitig erfolgten, lag die Erfolgsrate bei 96,7% über 10 Jahre. Es wurden insgesamt 477 Implantate ausgewertet. In 59 % der Fälle traten keinerlei Knochenverluste am Implantathals auf. Es waren auch keine Unterschiede bei geringen Restknochenhöhen feststellbar, so dass wir das Vorgehen in einem Eingriff auch bei Restknochenhöhen von weniger als 1 mm bevorzugen.

Schema: Ablauf Sinuslift:

Röntgenverlauf Sinuslift:

Absolute Erhöhung des Kiefers durch Transplantate

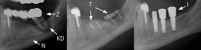
Die absolute Erhöhung des Kiefers zählt zu den operationstechnisch anspruchsvollsten Eingriffen in der Rekonstruktion des Prothesen- bzw. Implantatlagers. Dabei werden körpereigene Transplantate bevorzugt. Falls nur wenig Material benötigt wird, können wir dies im Operationsgebiet gewinnen (s.u.).

Fehlender Knochen wird an anderer Stelle im Kiefer entnommen und mittels Schrauben an der Implantationsstelle befestigt, und nach der Einheilung ein Implantat eingebracht.

Die Röntgenbilder zeigen einen Kieferaufbau eines durch Zahnentzündung (Z) entstandenen Knochendefekts (KD) in Nervnähe (N). Die Transplantate (T) aus dem Kieferwinkel wurden mit kleinen Schrauben fixiert. Nach Heilung erfolgt die weitere Implantatversorgung (I).

Alternativ setzen wir auch sogenannte Membranen ein, mit denen die Kieferkontur nachempfunden wird. Mit Hilfe von Titanverstärkungen können wir diesen eine Form geben, in die das Knochenwachstum sich hineinbewegt. Der Vorteil in der Verwendung von Membranen liegt darin, dass die Implantate in den meisten Fällen gleichzeitig gesetzt werden können.

Ein weiteres sehr innovatives Verfahren, das wir bei extrem großen Defekten einsetzen, ist das Reoss-System. Dabei wird basierend auf einem 3D-Röntgendatensatz die natürliche Form des Kiefers rekonstruiert und ein individuelles Gerüst für den Kieferaufbau modelliert. Wir setzen diese Verfahren nur mit Eigenknochen ein, den wir je nach Situation im günstigsten Fall gleich bei der Implantatbohrung gewinnen.