Mund-Kiefer-Gesichtschirurgie

Plastische Gesichtsoperationen

Oralchirurgie – Implantologie (zertifiziert)

0531 70 76 30 10 WhatsApp Notfall

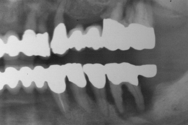
So vielfältig die Ursachen so weitreichend muss die Planung für die Implantologie sein. Alle Disziplinen der Zahnheilkunde sowie allgemeinmedizinische Aspekte sind zu betrachten. Ursachen (Nichtanlage, Unfall, Karies und Parodontitis)

Nichtanlage

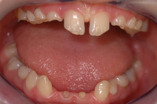
Unfall

Karies

Parodontitis