Mund-Kiefer-Gesichtschirurgie

Plastische Gesichtsoperationen

Oralchirurgie – Implantologie (zertifiziert)

0531 70 76 30 10 WhatsApp Notfall

Untersuchung / Behandlung

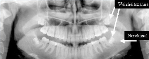
Neben der klinischen Diagnostik reicht in den meisten Fällen eine Röntgenaufnahme in Form einer Panoramaschichtaufnahme (PSA) – auch OPG (Orthomopaantogramm) genannt. aus. 

Falls Zweifel über die Lage der Zähne z.B. in Relation zum Nervkanal bestehen, ist eine Schichtaufnahme in der zweiten Ebene notwendig, z.B. durch ein DVT (digitales Volumentomogramm).

Nach eingehender Untersuchung und Operationsaufklärung wird die OP geplant. In der Regel verordnen wir in diesem Termin bereits Medikamente und geben Hinweise, wie diese einzunehmen sind. 

Die meisten Weisheitszahnoperationen erfolgen unter Lokalanästhesie. Aber auch eine Sedierung (Dämmerschlaf) oder Operation in Vollnarkose sind möglich. Die minimalinvasive Operation dauert in der Regel 20 bis 60 Minuten, wobei wir empfehlen, möglichst alle vier Weisheitszähne auf einmal zu entfernen. 

Aber auch die Entfernung in mehreren Sitzungen ist denkbar und in manchen Fällen zu bevorzugen, z.B. bei Vorliegen von Blutgerinnungsstörungen oder der Einnahme von blutverdünnenden Medikamenten.